

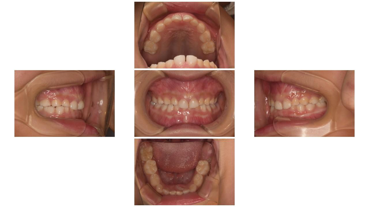
見た目だけの問題ではなく、反対咬合を放置すると、お口や身体の健康に様々な悪影響を及ぼす可能性があります。
(1) 噛む機能(咀嚼)への影響正常な噛み合わせと比べて前歯で食べ物を上手く噛み切ることが難しくなり、食事の際に不自由を感じることがあります。
前歯で適切に噛み合わないため、奥歯に過度な負担がかかり、奥歯のすり減りが早くなったり、奥歯の被せ物や詰め物が壊れやすくなったりすることがあります。
(2) 顎関節への影響上下の顎が理想的ではない位置で噛み合うため、顎関節に無理な力がかかり続け、顎の痛み、カクカクといった音、口が開けにくいといった顎関節症の症状を引き起こすリスクが高まります。
(3) 発音への影響サ行、タ行、ラ行などの発音をする際に、舌や歯の位置が適切ではないため、発音が不明瞭になる(こもる、舌足らずになる)ことがあります。
(4) 歯や歯周組織への影響反対咬合により特定の歯に強い力が集中することで、その歯を支える歯茎や骨(歯周組織)に負担がかかり、歯周病が悪化しやすくなることがあります。
(5) 見た目・コンプレックス下顎が目立つことで、口元の見た目や横顔のバランスに悩みを持ち、人前で話すことや笑顔になることに抵抗を感じる方も少なくありません。
反対咬合を治すことは、これらの機能的な問題を改善し、長期的なお口の健康を守ることにつながります。患者様一人ひとりの状態に合わせて最適な治療計画をご提案いたしますので、ご不明点やご不安な点があれば、いつでもご相談ください。


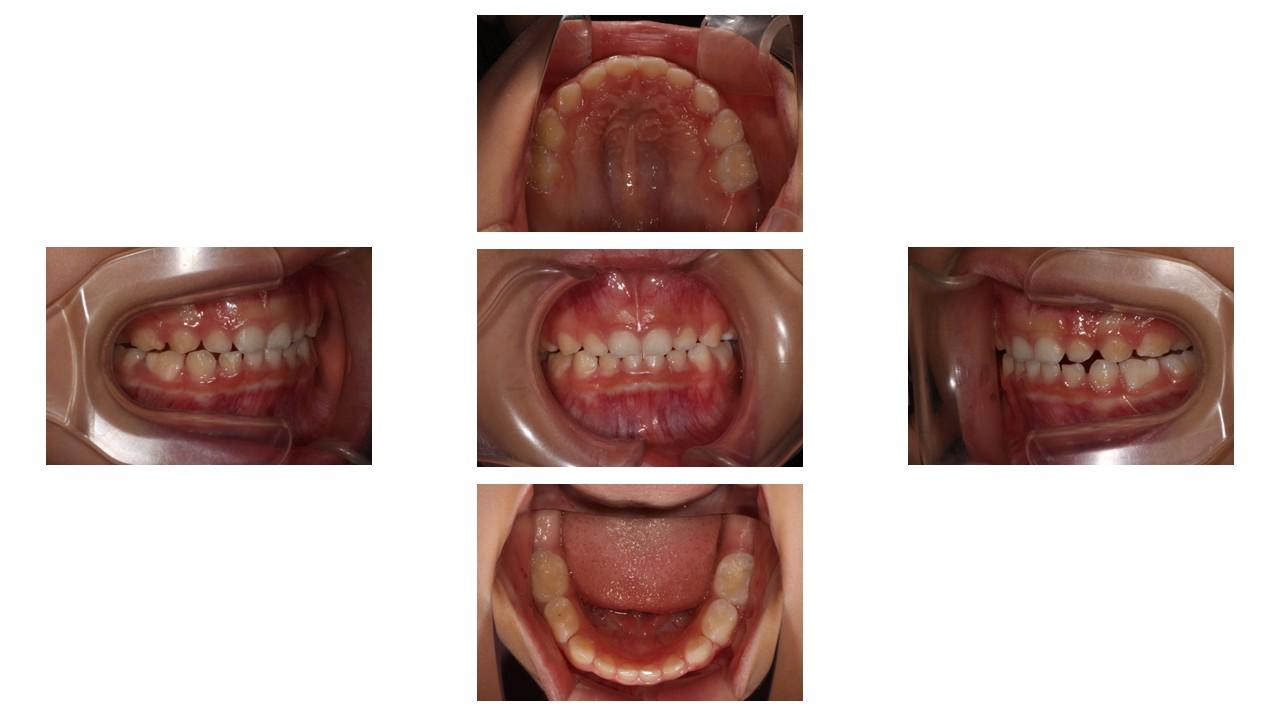
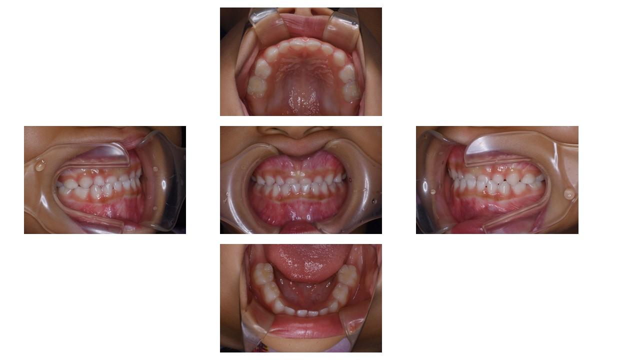
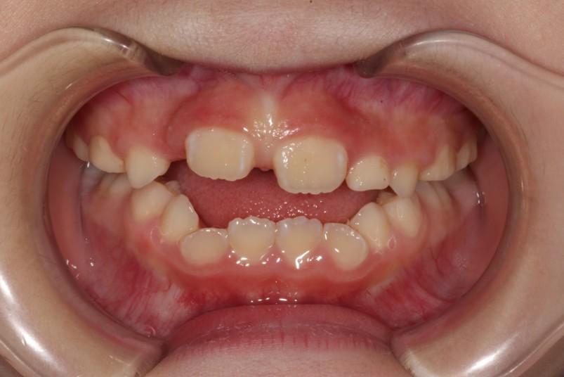
「過蓋咬合」とは、上下の歯の噛み合わせが異常に深い状態のことです。
<正常な噛み合わせ> 上下の歯を自然に噛み合わせたとき、上の前歯は下の前歯を約2〜3ミリ(歯の頭の3分の1程度)覆っているのが理想的です。
<過蓋咬合> 上下の歯を噛み合わせたとき、上の前歯が下の前歯を深く覆いかぶさってしまい、下の前歯がほとんど見えない状態です。場合によっては、下の前歯の先端が上の歯茎に当たってしまうほど深く噛み込んでいることもあります。
【過蓋咬合を治す必要がある理由】過蓋咬合は一見、見た目上大きな問題がないように感じられるかもしれませんが、放置するとお口の健康や全身に様々な悪影響を及ぼす可能性があります。
(1) 歯周組織へのダメージ噛み合わせが深すぎるため、下の前歯の先端が上の前歯の裏側にある歯茎を突き上げたり、こすったりして、歯茎に炎症や傷を起こしやすくなります。この状態が続くと、歯周病が悪化したり、最悪の場合、上の前歯を支える骨が溶けてしまう原因にもなりかねません。
また、上の前歯の裏側と強く接触することで、下の前歯の先端部分が異常にすり減ってしまうことがあります。
(2) 顎関節への負担深い噛み合わせは、顎の関節を後方に押し込めるような不自然な状態に保ちやすく、顎関節に過剰な負担がかかります。その結果、「顎が痛い」「口を開け閉めするときに音が鳴る」「大きく口が開かない」といった顎関節症の症状を引き起こす原因となることがあります。
(3) 歯の寿命への影響噛み合わせが深いため、前歯だけでなく奥歯にも過剰な力がかかり、奥歯のヒビ割れ、欠け、または被せ物の破損などのリスクが高まります。これは将来的に歯の寿命を縮める原因につながります。
(4) 顔の輪郭・横顔への影響成長期にあるお子様の場合、深い噛み合わせが下顎の正常な成長を妨げ、結果として下顎が小さく見えたり、顎関節に悪影響を及ぼすことがあります。
過蓋咬合の治療は、これらのリスクを未然に防ぎ、歯と顎関節を健康な状態に保ち、将来にわたってご自身の歯で快適に食事をしていただくために非常に重要です。
患者様の現在の状態を詳しく検査し、最適な治療法をご提案させていただきますので、ご不安な点があれば何でもご相談ください。


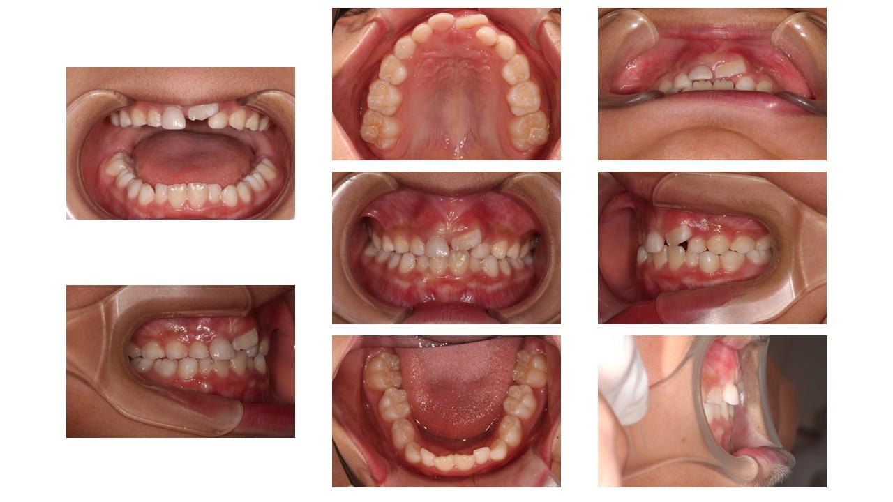
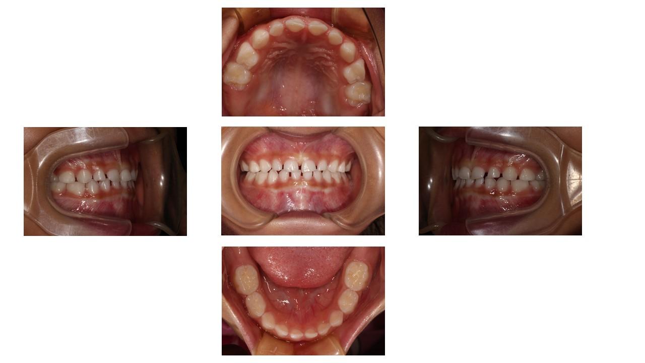
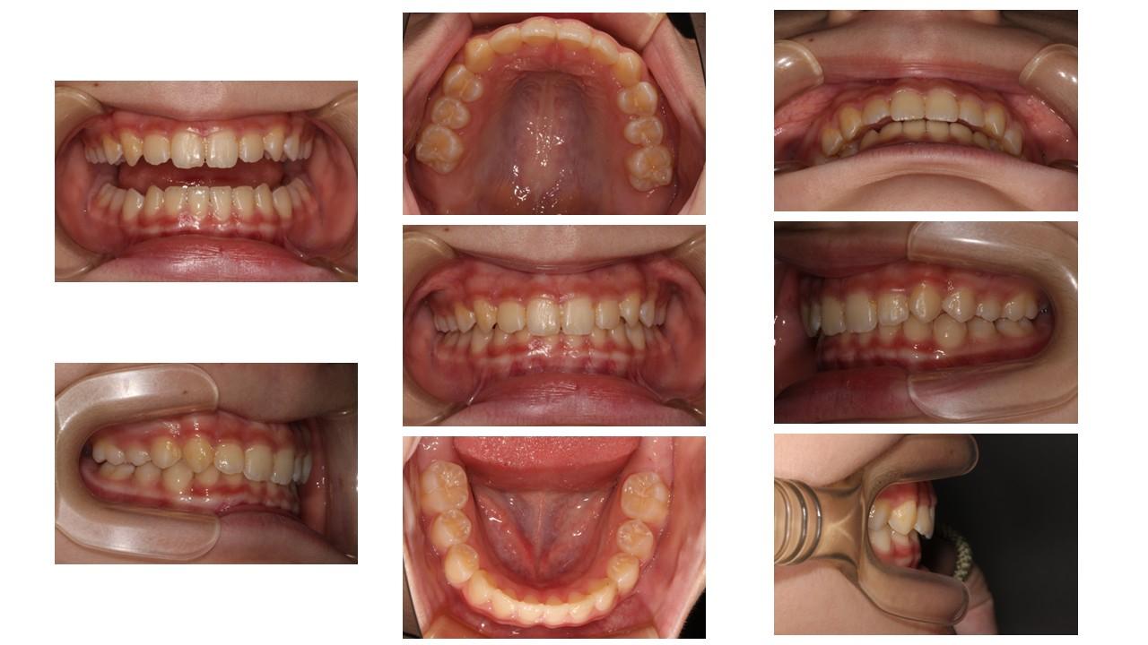
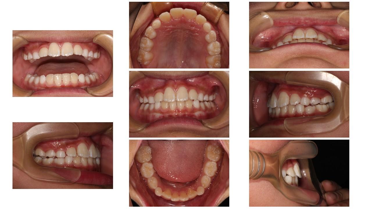
「叢生」は、一般的に「乱ぐい歯(らんぐいば)」「八重歯(やえば)」「ガタガタの歯並び」などと呼ばれる状態で、日本人に非常によく見られる不正咬合(ふせいこうごう:良くない噛み合わせ)です。
<叢生の状態>
顎(あご)の骨の大きさに対して、歯のサイズが大きすぎたり、歯が並ぶスペースが不足していたりするために、歯がデコボコに重なり合って生えている状態を指します。
【叢生を治す必要がある理由】
叢生は見た目の問題だけでなく、お口の中の健康を維持することを難しくし、将来的に様々なトラブルを引き起こす原因となります。
(1) 虫歯(むし歯)や歯周病のリスクが高まる
歯が重なり合っている部分は、歯ブラシの毛先が届きにくく、食べかすや歯垢(プラーク)が溜まりやすくなります。
また、磨き残しが増えることで、虫歯や歯周病のリスクが大幅に高まります。歯周病が進行すると、歯を支える骨が溶け、最終的には歯を失うことにもつながります。
(2) 噛む機能(咀嚼)と顎関節への影響
デコボコな歯並びでは、上下の歯が正しく噛み合わないため、食べ物を細かく噛み砕く咀嚼(そしゃく)機能が低下し、胃腸などの消化器官に負担をかけることがあります。
悪い噛み合わせで無理に噛み続けると、顎の関節(顎関節)に負担がかかり、顎関節症(顎の痛み、音、口が開きにくいなどの症状)を引き起こす可能性が高まります。
(3) その他の全身への影響
特定の歯に強い力が集中することで、その歯がすり減ったり、ヒビが入ったりするリスクが高まり、歯の寿命を縮める原因になります。
噛み合わせのバランスが崩れると、顎周りから首、肩にかけての筋肉にも影響が及び、慢性的な頭痛や肩こりの原因となることもあります。
叢生を治療し、歯並びをきれいに整えることは、毎日の歯磨きを容易にし、虫歯や歯周病を予防するとともに、顎関節や全身の健康を守るための大切な投資となります。
将来むし歯や歯周病にならないためには、「お子さまのうちから歯ならびとかみ合わせを整えること」が、とても大切です。歯並びが整うことで歯ブラシがしやすくなり、毎日の歯磨きの効果がぐんと高くなり、むし歯や歯周病を予防することができます。
これが将来のお口のトラブルを防ぐための最短ルートだと考えています。
これからも地域の皆さんのお口の健康を維持し、身体の健康につなげ、生活の質を向上する。そんな願いを実現させるため、この地域に「予防」という概念をしっかり根付かせることを目標とし、日々努力を続けてまいります。
お子さまの歯並びが気になる方は、どうぞお気軽にお問合せください。
※医院でのアクティビティ料5,500円が毎回発生します。
※予約時以外でのワイヤー調整や、装置の外れなど急を要する場合、1週間後以降の通院による調整は¥550が発生します。
※価格は全て税込です。
1年間(1月1日~12月31日)に10万円以上の医療費を支払った場合は、医療費控除によって一定の所得控除を受けられます。ご自身の支払に限らず、生計を共にするご家族が支払った医療費も対象です。
詳しくは国税庁ホームページをご覧ください。
| 住所 | 〒491-0052
愛知県一宮市今伊勢町新神戸字乾24 |
|---|---|
| TEL | 0586-73-8500
|
| アクセス | 【公共交通機関でお越しの方へ】
最寄り駅:名鉄「今伊勢駅」より500m、徒歩約6分 最寄りバス停:JR尾張一宮駅・名鉄一宮駅より、名鉄バス「今伊勢小学校 」下車すぐ 【お車でお越しの方へ】 県道190号線(岐阜街道)沿い 今伊勢小学校西門前に駐車場7台完備 |
| 診療曜日・時間 | 〈診療日〉月・火・水・木・金
〈午前診療〉9:00~12:00 〈午後診療〉14:00~18:00 〈休診日〉土曜・日曜・祝日 |